易基因:WGBS+Smart-seq2整合分析揭示抑制卵母细胞CpG高甲基化可保障胚胎正常发育:Dev Cell

news/2025/10/30 15:12:43/文章来源:https://www.cnblogs.com/E-GENE/p/19177109

大家好,这里是专注表观组学十余年,领跑多组学科研服务的易基因。

近日,瑞士巴塞尔大学/弗里德里希·米谢尔生物医学研究所Antoine H F M Peters团队在《Developmental Cell》期刊发表题为“Preventing CpG hypermethylation in oocytes safeguards mouse development”的研究成果,研究揭示了组蛋白去甲基化酶KDM2A(Lysine Demethylase 2A)和KDM2B在小鼠卵母细胞中的关键功能,及其通过抑制CpG岛(CpG islands, CGIs)的高甲基化以保障胚胎的正常发育机制。具体而言,母源缺失KDM2A/KDM2B导致卵母细胞出现全基因组范围的H3K36me2沉积,引发CGIs与基因体(genebody)的异常DNA甲基化,这种异常甲基化在受精后不能被早期胚胎完全重编程,最终通过抑制合子基因组激活(Zygotic Genome Activation, ZGA)导致植入前胚胎死亡。总之,研究通过整合全基因组甲基化测序(WGBS) 和单细胞转录组测序(Smart-seq2) 技术,首次阐明母源表观基因组稳定性对胚胎发育的跨代调控机制。

标题:Preventing CpG hypermethylation in oocytes safeguards mouse development(抑制卵母细胞中CpG高甲基化保障小鼠正常发育)

发表时间:2025年9月2日

发表期刊:Developmental Cell(Dev Cell)

技术平台:WGBS、Smart-seq2、CUT&RUN(易基因金牌技术)

作者单位:瑞士巴塞尔大学

DOI:10.1016/j.devcel.2025.08.005

除调控性CpG岛序列外,大多数哺乳动物细胞的基因组广泛存在DNA甲基化。然而在卵母细胞中,DNA甲基化(DNAme)主要发生在转录区域,抑制卵母细胞中de novo DNA甲基化的机制及其对合子基因组激活(ZGA)和胚胎发育的相关性尚不完全清楚。本研究揭示了两种组蛋白去甲基化酶KDM2A和KDM2B通过抑制H3K36me2的全基因组沉积,从而抑制DNMT3A催化的DNA甲基化。研究进一步发现,Kdm2a/Kdm2b双突变卵母细胞的CpG岛异常DNA甲基化会介导胚胎2细胞期的基因转录抑制。异常母源DNA甲基化会损害植入前胚胎发育,其通过在卵子发生过程中Dnmt3a缺失得以抑制,因此KDM2A/KDM2B对于抑制卵母细胞甲基化至关重要,进而赋予早期胚胎发育能力。本研究结果表明,早期胚胎的重编程能力不足以清除母源染色质上的异常DNA甲基化,且早期发育容易受到基因剂量单倍体不足效应影响,进而导致发育障碍。

  • KDM2A/KDM2B通过去甲基化H3K36me2以抑制小鼠卵母细胞中de novo DNA甲基化。
  • DNA序列和H3K4me3调控CGIs中的异常H3K36me2和DNA甲基化。
  • 异常卵母细胞DNA甲基化在早期胚胎中不会被重编程,并抑制转录。
  • 异常卵母细胞DNA甲基化的代际遗传对早期胚胎具有致死性。

研究摘要

研究方法

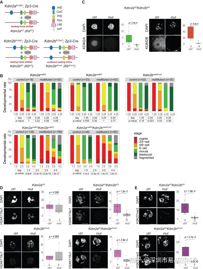
  • 基因敲除小鼠模型的构建:通过Zp3-cre转基因小鼠,研究人员在卵母细胞中特异性敲除Kdm2a和Kdm2b基因,构建了Kdm2a/Kdm2b双敲除小鼠模型。
  • 卵母细胞和胚胎的收集:从不同日龄的小鼠中收集生长期卵母细胞(GOs)和完全成熟卵母细胞(FGOs),并进行体外受精(IVF)以同步化受精时间。
  • 单细胞转录组测序(Smart-seq2):对单个卵母细胞和胚胎进行Smart-seq2测序,以分析基因表达变化。
  • 全基因组亚硫酸盐测序(WGBS):对卵母细胞和胚胎4细胞期进行WGBS,以分析DNA甲基化状态。
  • 染色质免疫沉淀(CUT&RUN):对卵母细胞进行CUT&RUN实验,以分析组蛋白修饰状态。
  • 免疫荧光染色:对卵母细胞和胚胎进行免疫荧光染色,以检测特定组蛋白修饰和DNA甲基化的分布。
  • 甲基化-转录组关联分析:WGBS与Smart-seq2整合,鉴定因启动子高甲基化被抑制的ZGA基因。

结果图形

(1)卵母细胞中的Kdm2a/Kdm2b具有调控胚胎发育功能

Kdm2a和Kdm2b在卵母细胞中高表达,且在早期胚胎发育中发挥重要作用。Kdm2a/Kdm2b双敲除(double-mutant, dKO)的卵母细胞在发育过程中表现出严重的胚胎发育障碍,尤其是在囊胚阶段。表明KDM2A和KDM2B在卵母细胞中具有抑制DNA甲基化和保障胚胎正常发育的关键作用。

图1:KDM2A和KDM2B在卵母细胞中调控胚胎发育

  1. 对照(ctrl)和突变条件下卵母细胞中表达的Kdm2a和Kdm2b基因示意图。
  2. 对照、单突变和双/复合突变的体外胚胎发育的早期胚胎在指定天数的发育进展率。

(C–E) 对GOs(KDM2A)或FGOs(其他)的指定基因型进行KDM2A、细胞质KDM2B、H2AK119u1和H3K27me3的免疫荧光染色及定量分析。

(2)KDM2A/KDM2B调控PRC1介导的基因抑制

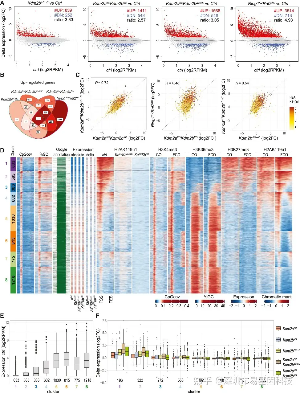
通过组蛋白修饰CUT&RUN分析发现,双敲除卵母细胞的H2AK119单泛素化(H2AK119u1)和H3K27三甲基化(H3K27me3)水平显著下降(图1D-E)。RNA-seq显示PRC1靶基因(如转录因子Pax、Tbx家族)在dKO卵母细胞中被激活(图2A)。这些基因在野生型中被H2AK119u1标记,而在突变体中解除抑制,表明KDM2A/B通过维持PRC1活性实现表观沉默。

图2. KDM2A/KDM2B在卵母细胞发生过程中调控H2AK119u1沉积和基因表达

  1. MA图显示指定突变FGOs相对于对照FGOs的差异表达。
  2. 维恩图显示指定突变FGOs相对于对照FGOs上调基因的数量。
  3. 散点图显示指定突变FGOs相对于对照FGOs的表达log2FC及之间的关系。
  4. 热图显示CGI启动子基因(上下游±5kb、TSS、基因体、TES)的序列组成、转录和染色质变量,通过k-means聚类将这些基因分为8个clusters(簇)。从左到右:每个cluster的基因数量;CpG覆盖率;GC百分比;卵母细胞特异性正义(绿色)和反义(红色)转录本;对照和突变FGOs中的绝对RNA;突变FGOs相对于对照FGOs的log2FC表达(delta);对照和突变FGOs中的H2AK119u1占据情况;以及WT GOs和FGOs中的H3K4me3、H3K36me3、H3K27me3和H2AK119u1占据情况。
  5. 箱形图(Boxplot)显示对照FGOs中每个基因聚类的RNA表达水平。
  6. 箱形图显示在各种突变FGOs中相对于相应对照FGOs检测的每个基因聚类的log2FC表达变化。

(3)KDM2A/KDM2B招募抑制性PRC1到染色质上

基因聚类分析揭示PRC1靶标(Cluster 1-3基因)在双敲除(dKO)中显著去抑制(图2C)。KDM2B的CxxC结构域缺失导致其无法结合CGIs,致PRC1无法定位于染色质,证实二者通过物理互作招募抑制性复合体——变异型PRC1.1(vPRC1.1)。

(4)KDM2A/KDM2B限制基因上的H3K36me2沉积和DNA甲基化

KDM2A和KDM2B通过其JmjC结构域去甲基化H3K36me2,从而限制DNMT3A在基因中的DNA甲基化。在Kdm2a/Kdm2b双敲除(dKO)的卵母细胞中,H3K36me2和DNA甲基化水平显著增加(图3A),WGBS显示基因组平均CpG甲基化率从正常35.8%增加至58.8%(图3B),Hox基因等发育基因出现基因体异常甲基化(图3E)。表明KDM2A和KDM2B在限制DNA甲基化中发挥关键作用。关键验证:敲除Dnmt3a可完全挽救双突胚胎致死(图6B),证明DNA甲基化是致死主因。

图3. KDM2A/KDM2B限制卵母细胞中H3K36me2和DNA甲基化在启动子和基因上的沉积

  1. 对指定突变和相应对照基因型的GOs进行H3K36me2和H3K36me3的免疫荧光染色和定量分析,以及对FGOs进行5mC的免疫荧光染色分析。
  2. 2D密度图显示突变FGOs与对照FGOs中CpGs的平均甲基化水平(mCpG/CpG百分比)分布。
  3. 小提琴图展示指定基因型FGOs中不同基因组元件的mCpG/CpG(%)值的分布。
  4. 热图显示之前在图2D中描述的8个CGI启动子基因聚类的序列组成和染色质变量。从左到右依次为:CpG覆盖率;GC百分比;指定基因型FGOs中的H3K36me2、H3K36me3和DNA甲基化;突变FGOs与对照FGOs中CGI启动子的差异DNA甲基化。
  5. Hoxa-Evx1基因聚类的基因组快照,展示突变FGOs与对照FGOs相比,CGI启动子(橙色)和基因体中DNA甲基化和H3K36me2的增加情况。
  6. 箱形图展示在Kdm2aKOKdm2bKO FGOs与对照FGOs相比,被分配到表达上调、下调、未改变或未检测到的基因聚类CGI启动子(-1,500/+500 bps的TSS)或基因体(+500bps的TSS到TES)的差异H3K36me2、DNA甲基化和H3K36me3。
  7. 箱形图展示在Kdm2aKOKdm2bKO和Kdm2aKOKdm2bΔCxxC FGOs与对照FGOs相比,8个CGI启动子基因聚类的所有基因启动子上的差异H3K36me2和DNA甲基化。

(5)KDM2A/KDM2B调控在CGI启动子上的H3K36me2沉积和DNA甲基化

在Kdm2a/Kdm2b双敲除的卵母细胞中,CGI启动子上的H3K36me2和DNA甲基化水平显著增加(图3D),CGI高甲基化与H3K36me2沉积同步发生(图3F)。表明KDM2A/KDM2B在限制CGI启动子上的DNA甲基化中发挥关键作用。

(6)KDM2A/KDM2B在全基因组范围内抑制H3K36me2沉积和DNA甲基化

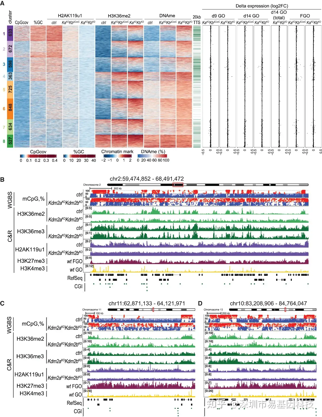
基于H3K4me3、H3K36me3、H3K27me3和H2AK119u1在WT FGOs中的占据情况,分析了突变FGOs与对照FGOs中H3K36me2、H3K36me3和DNA甲基化水平的变化(图4A)。分析结果表明,KDM2A/KDM2B蛋白在卵母细胞发育过程中维持低水平H3K36me2的作用不仅限于CGI,还具有显著的全基因组效应(图4B-4D)。在卵母细胞生长过程中,H3K36me2广泛沉积与转录无关,且这种沉积能被KDM2A/KDM2B蛋白有效抑制。

图4:在Kdm2a/Kdm2b缺失的卵母细胞中,H3K36me2和DNA甲基化的沉积与转录无关

  1. 热图展示卵母细胞中10kb基因间区的8个clusters内的染色质和转录变量。数据以20个相邻的500bp bins显示。从左到右依次为:每个cluster的区域数量;CpG覆盖率;GC百分比;对照和突变FGOs中的H2AK119u1、H3K36me2和DNA甲基化;在20kb侧翼区域内存在注释的TTS;在第9天和第14天的GOs中,指定突变和对照基因型之间的表达log2FC;在随机引物(总)第14天的GOs和FGOs中。RNA表达数据基于poly(A)引物RNA捕获和Smart-seq2文库生成。

(B–D) 基因组区间15,42,43的快照展示在对照FGOs中标记有H2AK119u1和H3K27me3的大基因间区域,在Kdm2aKOKdm2bKO FGOs中H3K36me2和DNA甲基化的增加。

(7)生长期卵母细胞(GOs)中的H3K4me3抑制异常DNA甲基化

机制回归模型证明低H3K4me3是GOs中异常甲基化的主要"许可因子"(图5A)。该机制独立于PRC1通路——即使非PRC1靶基因启动子(如代谢基因Gldc),只要H3K4me3缺失即易受甲基化侵袭。

图5:GOs中低水平的H3K4me3允许在卵母细胞生长期间获得H3K36me2和DNA甲基化

  1. 散点图显示在对照和野生(WT)型FGOs中,启动子和基因内CGI的H3K36me2和H3K4me3占据与DNA甲基化(%)之间的相关性。
  2. 散点图显示在Kdm2aKOKdm2bKO与对照FGOs之间,启动子和基因内CGI的差异DNA甲基化(%)与Kdm2aKOKdm2bKO FGOs中H3K36me2的占据以及野生型GOs中H3K4me3的占据之间的关系。
  3. 条形图显示可预测Kdm2aKOKdm2bKO与对照FGOs中CGIs处差异H3K36me2占据的染色质标记、基因组位置和三核苷酸序列的线性回归系数。
  4. 箱形图表示在GOs中具有低或高H2AK119u1水平的H3K4me3占据区域,CGI中心周围533bp区域每100bp的CCG/CGG三核苷酸频率以及在对照和Kdm2aKOKdm2bKO FGOs中H3K36me2的富集。
  5. Cartoon图说明DNA序列、组蛋白修饰酶和DNA甲基转移酶在调节H3K36二/三甲基化和de novo DNA甲基化之间的依赖关系。

(8)组合序列和染色质特征定义CGI的异常H3K36me2沉积

CGI上的异常H3K36me2沉积与H2AK119u1和H3K27me3的水平相关,且受到H3K4me3的抑制。在Kdm2a/Kdm2b双敲除的卵母细胞中,CGI上的H3K36me2水平显著增加,且与H3K4me3水平较低的CGI启动子相关(图5C),表明组合序列和染色质特征在定义CGI上的异常H3K36me2沉积中发挥关键作用。

(9)异常母源DNA甲基化损害植入前发育

作者研究了Kdm2a/Kdm2b突变卵母细胞中增加的DNA甲基化对胚胎发育的影响。研究发现,这些突变导致的异常甲基化在受精后并未被重编程,影响了胚胎的早期发育。通过条件性突变Dnmt3a功能,作者发现母源Dnmt3a缺失可以完全抑制由Kdm2a/Kdm2b突变引起的胚胎致死,而DNMT1酶缺失则没有这种效果。这表明KDM2A和KDM2B在卵母细胞中的一个重要功能是通过抑制H3K36me2沉积以抑制DNMT3A功能和de novo DNA甲基化。

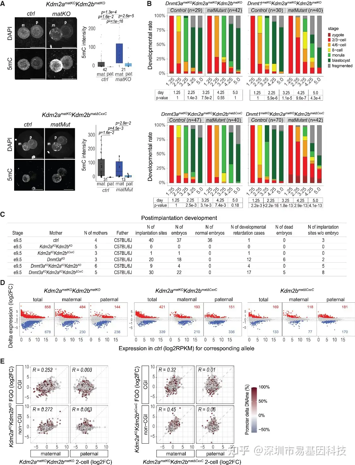
图6. 异常母源DNA甲基化损害植入前发育

  1. 对照和突变晚期合子的母源(m)和父源(p)原核进行5mC的免疫荧光染色和定量分析。
  2. 对照和三重突变的植入前胚胎在体外胚胎发育指定天数的发育进展。
  3. 汇总表总结具有指定基因型的胚胎的植入后发育情况。
  4. MA图显示母源突变与相应对照胚胎2细胞期相比的差异表达。
  5. 左侧:散点图显示Kdm2amatKOKdm2bmatKO与对照胚胎2细胞期相比的log2FC表达量及Kdm2aKOKdm2bKO与对照FGOs log2FC表达量之间的关系,靶向CGI和非CGI启动子相关基因的亲本特异性表达。右侧:与左侧相同的数据,但靶向Kdm2amatKOKdm2bmatΔCxxC 与对照胚胎2细胞期相比以及Kdm2aKOKdm2bΔCxxC与对照FGOs的比较。Kdm2aKOKdm2bKO与对照FGOs相比的启动子差异甲基化(%)用颜色区分。

(10)母源Kdm2a/Kdm2b双敲除会损害植入后发育

在Kdm2a/Kdm2b双敲除的卵母细胞中,异常DNA甲基化在植入后发育中得以维持,并损害胚胎发育。在Kdm2a/Kdm2b双敲除的e9.5胚胎中,发育迟缓的胚胎数量显著增加(图6C),此阶段致死与Dnmt3a缺失致死表型分离,提示KDM2A/B另有非甲基化相关功能。

(11)异常DNA甲基化抑制卵母细胞中的基因表达

为评估母源Kdm2a/Kdm2b缺失对胚胎基因调控的影响,研究人员对JF1/Ms雄性小鼠与Kdm2amatKOKdm2bmatKO 雌性小鼠的胚胎2细胞期进行差异表达分析。结果显示数百个基因表达失调,且存在明显的等位基因特异性反应。母源等位基因在卵母细胞和胚胎2细胞期中的差异表达呈正相关,而父源等位基因则无此关联。值得注意的是,双突变胚胎2细胞期中36%表达下调的母源CGI启动子基因,在Kdm2aKOKdm2bKO卵母细胞启动子区呈现高甲基化(>50%)。但矛盾的是,部分甲基化CGI基因在突变卵母细胞中表达上调。在 Kdm2amatKOKdm2bmatΔCxxC 和单突变Kdm2bmatΔCxxC 样本中也观察到类似的转录和甲基化反应。

为深入探究异常DNA甲基化与转录组间的机制关系,研究人员根据ctrl、三突变卵母细胞和野生型精子中CGI启动子的DNA甲基化状态,将其分为7个clusters。cluster1-4中近1500个CGI启动子在突变卵母细胞中出现广泛异常甲基化;cluster 5中超1250个CGI启动子在Kdm2aKOKdm2bKO卵母细胞中呈现中度异常甲基化。GO分析表明,cluster 1-5的许多基因在发育中起重要作用,且多为PRC1靶基因。cluster 6的CGI在对照和突变卵母细胞中均高甲基化,可能位于卵母细胞特异性上游启动子转录的基因体内。cluster 7的CGI在任何基因型中基本未甲基化或低甲基化。成熟精子中无明显CGI甲基化。

进一步分析异常CGI启动子DNA甲基化与基因表达变化的关系。在卵母细胞中,上调和下调基因在各cluster分布较均匀,但cluster 2-4中表达下调的基因与异常DNA甲基化显著相关,可能是异常DNA甲基化直接抑制了CGI启动子。而cluster 2-5中其他UCSC注释的CGI异常甲基化与双突变卵母细胞中表达上调的基因相关,但在突变胚胎中无此现象。cluster 6的CGI甲基化增加可能与转录偶联过程有关,这些CGI位于通常受PRC1抑制的卵母细胞特异性上游启动子转录的基因组区域内,其异常转录本在CGI上下游均升高。研究揭示了母源Kdm2a/Kdm2b缺失通过影响CGI启动子DNA甲基化状态,进而调控基因表达。

图7:被异常母源启动子DNA甲基化标记的基因在早期胚胎中受到抑制

  1. 热图显示根据UCSC数据库的CGI启动子在对照和突变FGOs以及WT精子中的绝对启动子甲基化水平进行聚类结果。
  2. 与(A)中DNA甲基化clusters1-5相关的CGI基因的富集程度和统计显著性水平GO富集分析。
  3. 在Kdm2aKOKdm2bKO与对照FGOs以及在Kdm2amatKOKdm2bmatKO 与对照胚胎2细胞期中,CGI启动子基因和所有非CGI启动子基因的log2FC表达。
  4. 条形图显示在DNA甲基化clusters中,CGI启动子基因的过/低表达情况以及它们在Kdm2aKOKdm2bKO与对照FGOs或在Kdm2amatKOKdm2bmatKO 与对照胚胎2细胞期中的显著上调或下调表达的统计显著性。
  5. 条形图显示在用RNA聚合酶II和III的抑制剂α-鹅膏蕈碱处理的胚胎2细胞期中,显著上调或下调的DNA甲基化clusters中的CGI启动子基因的过/低表达情况和统计显著性。
  6. 热图显示了根据UCSC数据库的CGI启动子在对照和Kdm2aKOKdm2bKO FGOs以及对照和Kdm2amatKOKdm2bmatKO 胚胎4细胞期中母源和父源基因组的绝对启动子DNA甲基化水平进行聚类。Mat-和pat-hypo指的是在对照胚胎中发生de novo甲基化的CGI。
  7. Kdm2amatKOKdm2bmatKO 与对照胚胎2细胞期中,根据亲本特异性测序读数,(F)中所示的不同CGI和非CGI启动子基因簇的log2FC表达。
  8. 根据亲本特异性测序读数,在Kdm2amatKOKdm2bmatKO 与对照胚胎2细胞期中,根据(F)定义的DNA甲基化clusters中的CGI启动子基因的过/低表达情况及其显著上调或下调表达的统计显著性。
  9. Gldc、Eomes和Hes2基因的基因组快照显示在卵母细胞和胚胎4细胞期中CGI启动子(橙色)的异常DNA甲基化。

(12)异常DNA甲基化与胚胎2细胞期的母源基因抑制相关

在Kdm2a/Kdm2b双敲除的胚胎2细胞期胎中,异常DNA甲基化与母源基因抑制相关。通过杂交品系(C57/JF1)等位分析显示,dKO来源的胚胎2细胞期中,高甲基化基因的母源拷贝特异性沉默。父源拷贝表达正常,提示"基因剂量不足"是致死机制。

(13)母源异常DNA甲基化在胚胎4细胞期中得以维持

在Kdm2a/Kdm2b双敲除的胚胎4细胞期中,异常DNA甲基化得以维持。卵母细胞甲基化在胚胎4细胞期未按预期"稀释"(图7F)。333/479高甲基化CGI维持>75%甲基化水平,远超复制稀释效应(理论应降至25%-50%),证明主动维持机制介入。

(14)高甲基化影响关键发育调节基因启动子

在Kdm2a/Kdm2b双敲除的卵母细胞中,许多关键发育调节基因的启动子发生高甲基化。GO分析显示高甲基化基因富集在发育关键通路:Bmp4、Wnt2基因介导;Sox17、Gata4基因介导细胞命运决定,Gldc介导代谢调控,其中Hes2等基因同时受甲基化抑制,其功能缺失直接导致胚胎停滞。

结论和启示

本研究揭示了KDM2A和KDM2B在卵母细胞中的关键作用,强调了其在抑制DNA甲基化和维持胚胎正常发育中的重要性。KDM2A和KDM2B通过H3K36me2去甲基化,抑制了DNMT3A在卵母细胞中建立全局DNA甲基化的能力。此外,KDM2A和KDM2B通过其CxxC结构域招募PRC1复合体到CGI启动子上,从而抑制基因表达。这些发现不仅加强了对卵母细胞基因组甲基化调控机制的理解,还为研究胚胎发育过程中的表观遗传调控提供了新视角。此外,该研究应用WGBS和Smart-seq2技术在解析基因组甲基化和基因表达调控,为未来类似研究提供了关键技术参考。

关于易基因单细胞转录组测序(smart-seq2)

10X Genomics公司Chromium解决方案无法满足某些特殊或者微量细胞样本甚至单细胞转录组研究。Smart-seq2技术在单细胞水平对带Poly(A)的RNA进行全长转录组扩增及高通量测序,能够满足高灵敏度、低偏好性的cDNA扩增,得到全长转录本,实现高水平的序列模板转换。

Smart-seq2技术有较好的覆盖范围,可检测到稀有转录本,无需额外的专业设备,应用范围较广,可以解决传统 RNA 定量技术在早期胚胎发育、干细胞、癌症、免疫等研究领域中存在的样品量极低或细胞异质性的问题,是在单细胞水平研究基因表达强有力的工具,极大地拓展了RNA-seq 的应用范围。

技术优势:

(1)起始量低:1-1000个细胞或10pg-10ng total RNA即可高效扩增;

(2)转录本覆盖度高:通过双端引物扩增全长cDNA,获得全转录组信息,避免3’端和5’端偏好性,产物完整性好;

(3)检测灵敏度高:大幅度增加了低表达基因的检出量;

(4)碱基分辨率高:可达单碱基分辨率,且可以定位到具体基因的具体转录本;

(5)实验可控:质控点多,可从实验的开端判断细胞状况。

研究方向:

可应用于细胞分子机制中细胞异质性研究,解决因样本量少而无法进行高通量测序的情况。

  • 免疫学研究
  • 肿瘤及微环境研究
  • 绘制组织精细化表达图谱
  • 早期胚胎发育

关于易基因全基因组重亚硫酸盐测序(WGBS)

全基因组重亚硫酸盐甲基化测序(WGBS)可以在全基因组范围内精确的检测所有单个胞嘧啶碱基(C碱基)的甲基化水平,是DNA甲基化研究的金标准。WGBS能为基因组DNA甲基化时空特异性修饰的研究提供重要技术支持,能广泛应用在个体发育、衰老和疾病等生命过程的机制研究中,也是各物种甲基化图谱研究的首选方法。

易基因全基因组甲基化测序技术通过T4-DNA连接酶,在超声波打断基因组DNA片段的两端连接接头序列,连接产物通过重亚硫酸盐处理将未甲基化修饰的胞嘧啶C转变为尿嘧啶U,进而通过接头序列介导的 PCR 技术将尿嘧啶U转变为胸腺嘧啶T。

应用方向:

WGBS广泛用于各种物种,要求全基因组扫描(不错过关键位点)

  • 全基因组甲基化图谱课题
  • 标志物筛选课题
  • 小规模研究课题

技术优势:

  • 应用范围广:适用于所有参考基因组已知物种的甲基化研究;
  • 全基因组覆盖:最大限度地获取完整的全基因组甲基化信息,精确绘制甲基化图谱;
  • 单碱基分辨率:可精确分析每一个C碱基的甲基化状态。
技术类型起始量特点覆盖度
常规WGBS 1μg gDNA 正常BS建库技术 95%
Micro DNA-WGBS 1-10000个细胞/1ng基因组DNA 在常规WGBS技术上进行技术改进,使得起始量大大降低,适合珍稀样本的研究 95%
scWGBS 单细胞/1-10个细胞 克服了组织内部细胞异质性的影响,可以满足单个细胞层面的课题研究 20%
Micro DNA-XRBS 1ng gDNA、单细胞 为Micro DNA-WGBS的简化版本,特别适用于大样本量的珍稀样本DNA甲基化研究 20M CG

参考文献:

Kawamura YK, Ozonov EA, Papasaikas P, Kondo T, Nguyen NV, Stadler MB, Smallwood SA, Koseki H, Peters AHFM. Preventing CpG hypermethylation in oocytes safeguards mouse development. Dev Cell. 2025 Aug 29. doi: 10.1016/j.devcel.2025.08.005.

 

相关阅读:

1. Cell|易基因微量DNA甲基化测序助力中国科学家成功构建胚胎干细胞嵌合体猴,登上《细胞》封面

2. Nature | 易基因DNA甲基化测序助力人多能干细胞向胚胎全能8细胞的人工诱导

3. 项目文章:微量DNA甲基化分析揭示MeCP2在卵子发生和卵巢衰老中的表观遗传调控

4. 项目文章|微量WGBS+ACE-seq揭示卵巢早衰的人卵丘细胞DNA甲基化与羟甲基化表观基因组图谱

5. 项目文章 | JGG:单细胞甲基化+转录组多组学分析揭示哺乳期母体低蛋白饮食对子代的跨代传递

6. 项目文章 | 植入前胚胎的全基因组DNA甲基化和转录组分析揭示水牛胚胎基因组激活进展

7. 项目文章|JEM(IF10.6):单细胞转录组测序(scRNA-seq)揭示过敏性肺部疾病的调控网络

8. 项目集锦:微量样本及单细胞DNA甲基化研究如何发高分SCI文章(特别适用珍稀样本)

9. 项目文章 | Nat Commun:单细胞转录组测序揭示光疗通过脑膜淋巴系统改善AD和衰老

10. 项目文章|JAR (IF13):西农陈玉林团队多组学分析揭示绵羊早期胚胎发育的分子与表观遗传调控机制

11. 技术推介|APOBEC-coupled epigenetic sequencing(ACE-Seq)

12. 技术推介|单细胞转录组测序(smart-seq2)

13. 技术推介 | 全基因组重亚硫酸盐甲基化测序(WGBS)

机制研究专题

 

本文来自互联网用户投稿,该文观点仅代表作者本人,不代表本站立场。本站仅提供信息存储空间服务,不拥有所有权,不承担相关法律责任。如若转载,请注明出处:http://www.mzph.cn/news/950841.shtml

如若内容造成侵权/违法违规/事实不符,请联系多彩编程网进行投诉反馈email:809451989@qq.com,一经查实,立即删除!

相关文章

2025年评价高的双功能缓冲滑轨厂家最新权威实力榜

2025年评价高的双功能缓冲滑轨厂家最新权威实力榜在当今家居五金行业,双功能缓冲滑轨已成为高端橱柜、衣柜和家具系统的标配组件。这类产品不仅实现了抽屉的顺畅开合,还具备缓冲闭合功能,大大提升了用户体验和产品寿…

基础算法介绍(三)简单选择排序

基础算法介绍(三)简单选择排序一 简单选择排序 简单选择排序是一种直观且易于理解的基于比较的排序算法。核心特性如下 1.1 特性总结特性 说明核心思想 通过重复查找未排序部分的最小(或最大)元素,将其与未排序部…

2025年成人毛笔书法培训推荐榜:北兰亭引领行业新风尚

在当今快节奏的社会中,成人学习毛笔书法不仅是对传统文化的传承,更是一种修身养性、提升自我的方式。随着市场需求的增加,各类成人毛笔书法培训机构如雨后春笋般涌现。在众多机构中,北兰亭以其独特的优势脱颖而出,…

从迪拜到欧洲,IvorySQL 勾勒全球生态版图,2026 生态大会蓄势待发

2025 下半年,IvorySQL 以 “多场景参与、技术化破局” 的姿态,在全球范围内勾勒生态布局 —— 从迪拜的科技盛会,到西班牙伊维萨岛、拉脱维亚里加的 PostgreSQL 专项会议,每一步都紧扣 “兼容 Oracle 的 PG 生态核…

隐语SecreFlow SCQL 1.0.0b1 发布:更完善的 SQL 支持与更高效的隐私查询引擎

打开链接点亮社区Star,照亮技术的前进之路。每一个点赞,都是社区技术大佬前进的动力Github 地址: https://github.com/secretflow/scql 我们非常高兴地宣布 —— SCQL 1.0.0b1 版本正式发布! 作为 SecretFlow 生态…

Ngene 代码

1.正交设计Design;alts = alt1, alt2 ;rows = 36 #选择集数量;block = 6 #分块;orth = seq …

2025年国内心理教练培训公司推荐榜:心理教练、企业教练、践行力量实力公司精选

在当今竞争激烈的商业环境中,众多企业管理者面临着提升团队管理能力、突破企业发展瓶颈的挑战。心理教练服务作为一种新兴且有效的管理方式,备受关注。那么,哪些机构提供的心理教练服务更具实战性,能切实助力企业成…

2025年知名的负压pp储罐厂家推荐及采购参考

2025年知名的负压PP储罐厂家推荐及采购参考 在化工、制药、环保等行业中,负压PP(聚丙烯)储罐因其优异的耐腐蚀性、轻量化设计及高性价比,成为液体储存与反应的关键设备。随着2025年行业标准的提升,选择可靠的PP储…

打印一首诗

打印一首诗print( aaa bbb ccc )引起来的括号区域,解释器可以认作是多行在print

2025 年 10 月高尔夫教学机构权威推荐榜:专业教练团队与个性化课程体系深度解析,助你提升球技!

2025 年 10 月高尔夫教学机构权威推荐榜:专业教练团队与个性化课程体系深度解析,助你提升球技! 高尔夫运动作为一项兼具竞技性与社交性的体育活动,近年来在中国市场呈现出蓬勃发展的态势。随着参与人群的不断扩大,…

澳硕城市联盟卡券小程序:一站式城市优惠整合与营销解决方案

一、概述总结 澳硕城市联盟卡券小程序是由澳硕科技开发的微信小程序应用,主打城市店铺优惠券整合与多场景营销服务。该程序以微擎系统为交付基础,支持多城市运营与多种类卡券管理,通过 “商家 - 会员 - 代理” 三方…

2025年水平生命线工厂权威推荐榜单:水平生命线系统/钢结构生命线/防坠落水平生命线源头厂家精选

随着国家对安全生产要求的不断提高,工业坠落防护设备市场呈现出稳定增长态势。水平生命线系统作为一种可容纳多人同时作业的集体防坠落解决方案,已广泛应用于钢结构施工、建筑维护、工业厂房等领域。 据行业数据显示…

下载Python和PyCharm

下载Python和PyCharmpython下载Download Python | Python.org pycharm下载Download PyCharm: The Python IDE for data science and web development by JetBrains

天天小任务:全平台点赞推广变现系统,轻松解锁流量与收益双增长

一、概述总结 “天天小任务” 是一款基于微擎平台的多功能推广变现系统,以小程序形式重装上线,全面支持视频号、抖音、快手、淘宝、拼多多等多平台点赞、店铺关注、自定义推广等任务。系统创新性解决了传统互助推广中…

2025.10.28__jyu每日一题题解

天使的起誓 思路 这题的数据范围非常大,对于c++来说明显不能直接运算,python一边去。 我们要利用到取模对于加减法和乘法具有分配律的性质来做这题。 (a + b) % p = (a % p + b % p) % p ((a + b) * c) % p = ((a * …

Biogeme Mlogit 分类变量回归代码

import pandas as pd from biogeme.database import Database from biogeme.expressions import Variable import biogeme.biogeme_logging as blog from IPython.core.display_functions import display from biogeme…

构建AI智能体:五十三、反应式应急+深思式优化:反应速度与规划智慧的平衡 - 详解

pre { white-space: pre !important; word-wrap: normal !important; overflow-x: auto !important; display: block !important; font-family: "Consolas", "Monaco", "Courier New", …

中间件架构师-混沌工程-蓝绿发布

目录混沌工程(Chaos Engineering):定义、目标与实践指南一、混沌工程的核心目标二、混沌工程的核心原则三、混沌工程的典型实践流程1. 实验准备(Plan)2. 执行实验(Do)3. 分析结果(Check)4. 改进优化(Act)四…

2025年知名的有油空压机厂家最新TOP排行榜

2025年知名的有油空压机厂家最新TOP排行榜 在工业制造领域,空压机作为关键动力设备,广泛应用于机械、电子、化工、食品等多个行业。随着技术的不断进步,市场对有油空压机的需求持续增长,尤其是在高效节能、低噪音…

QOJ8085 Bulbasaur

题意简述 给定一个 \(n\) 层,每层 \(k\) 个点的分层图,每一层向下一层连有一些边。记 \(f(l,r)\) 表示最多能选的路径条数,满足这些路径起点为 \(l\) 层,终点为 \(r\) 层,且互不相交(不包含相同的点)。求 \(\su…